从技术突破到生态构建:国产微波消融如何以“双频+AI可视化+多病种”引领行业变革?

专属客服号

微信订阅号
大数据治理
全面提升数据价值
赋能业务提质增效

近年来,肿瘤发病率逐年上升,受众多因素影响,80%以上患者在确诊时已错失手术机会, 而单纯放化疗效果并不理想,且带来的副作用常常使患者苦不堪言。在此背景下,有着创伤小、痛苦轻、疗效确切、恢复快等优点的微波消融治疗成为肿瘤的常用治疗手段之一,现已被广泛用于肿瘤治疗中。
现如今,微波消融成为了肿瘤消融市场最大板块,微波消融技术也成为了我国在医学治疗领域为数不多的世界领先治疗技术之一,以德文医学为代表的国产厂家已在全球范围内实现了时间上的先发优势、技术上的领先。
然而,尽管微波消融技术在肿瘤消融的临床应用中展现出显著优势,并已形成规模化市场,其进一步市场普及与技术升级仍面临着多重挑战。
01
痛点一:应用领域多元化,单一设备难以适配多场景
目前,传统微波消融设备仍面临受不同组织生物学特性制约的问题,临床应用中需针对性适配调试,存在场景适配局限。目前市面上主流微波消融设备仅能用于单一领域,难以应对越来越多的多器官原发癌的应用场景。

如果针对不同肿瘤配备不同的消融设备,不仅对医院的财政压力较大,相关设备难以下沉到基层市场,也给临床操作中的设备切换、参数调整带来诸多不便。
面对这一难题,德文医学旗下近期获批的DW-M5T、DW-M5H微波消融治疗仪取得了重大技术突破,依托能量输出精准调控、消融针型创新优化及热场分布算法迭代升级三大核心技术突破,大幅提升单一设备对多器官病灶的全场景临床适配能力。

该产品搭载了915MHz/2450MHz 双频微波技术,实现双频段微波能量的智能融合与协同输出:低频 915MHz 微波穿透深度深,适用于大体积、高密度的肝肿瘤消融,可避免能量集中导致的组织碳化;高频 2450MHz 微波加热效率高,适配甲状腺、肺等浅表或含气病灶的快速精准消融。
结合实时组织反馈的动态能量输出模式算法调控,可根据病灶组织的密度差异、血流灌注水平实现个性化精准适形消融,从技术层面突破了不同组织类型的消融适配壁垒,此前仅少数国际企业掌握双源微波临床技术。
02
痛点二:术前规划、术中导航及术后评估全流程可视化
在微波消融设备核心技术不断取得突破的同时,越来越多的术者及厂商将关注点放到了优化整体治疗流程上。
传统的微波消融高度依赖术者经验,随着治疗时间的延长,微波消融的形状和大小可能变得难以掌控、碳化程度加大。如何通过实时影像学评估解决术前规划、术中导航及术后评估全流程可视化问题,通过成为了新一代微波消融设备必须面对的挑战。
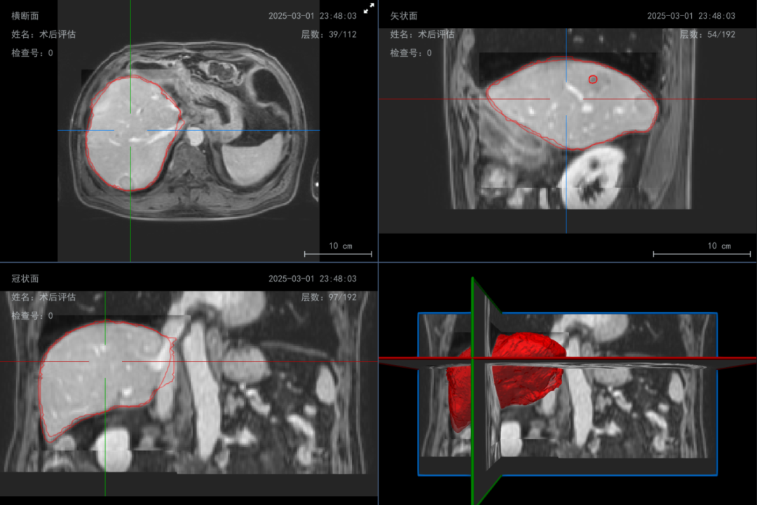
为解决这一临床痛点,德文医学推出了监测消融评估系统,可利用CT/MRI图像,通过快速图像处理,获得组织及病灶的多维度多视角图像、安全的进针方案及需要的消融范围。

在术前,系统基于患者CT/MRI影像数据,系统软件可实现高精度三维重建,真实还原病灶及其周边解剖结构,结合系统提供的距离测量、容积计算及模拟消融范围等功能,为规划个性化、精准化的消融路径与能量布控提供可靠依据。

在术中,通过实时动态显示微波能量场的分布范围,并将其与肿瘤的立体模型精确叠加,为病灶定位提供可视化、精准化参考支撑。
在术后,通过与术前三维规划方案进行自动配准与多平面同步对比分析。系统可在横断、矢状、冠状视图中清晰标注并量化显示实际消融区域与术前目标区域的匹配度,支持医生从空间覆盖完整性和消融均匀性等维度进行综合评价。

至此,德文医学监测消融评估系统通过“术前AI规划穿刺路径—术中双频能量精准调控与实时可视导航—术后即时影像评估”,构建了覆盖肿瘤治疗全流程的精准闭环。
03
未来趋势:非肿瘤适应症的持续拓展及全产业链生态竞争
现如今,微波消融技术正逐步打破其传统局限于肿瘤治疗的边界,正向更多非肿瘤或良性病变等新适应症延伸。
除了肝癌、肺癌等多种实体肿瘤,微波消融技术正逐步应用在甲状腺结节、肺小结节、乳腺结节、子宫肌瘤、静脉曲张等良性病变的微创治疗。微波消融技术的多元化应用布局成为了业内技术突破的核心方向之一。
在血管领域,微波消融用于下肢静脉曲张的闭合治疗,凭借热能精准作用于病变静脉壁,实现微创、高效、恢复快的临床优势;在肛肠领域,其用于痔疮的消融治疗,可有效减少出血与术后疼痛,提升患者舒适度。
此次DW-M5T、DW-M5H微波消融治疗仪的获批,代表着德文医学已构建起覆盖肺、甲状腺、肝脏肿瘤,以及下肢静脉曲张、痔疮五大关键病种的三类医疗器械注册证布局,形成了贯穿肿瘤、血管及肛肠三大疾病领域的微创治疗产品矩阵,突破了以往产品在应用场景上的局限,成为国内微波消融领域唯一实现这一布局的企业,为更多患者提供精准可及的微创治疗选择。

这些非肿瘤适应症的拓展,不仅丰富了微波消融技术的临床价值,也为医院相关科室(如血管外科、普外科、肛肠科)提供了更统一、高效且可标准化操作的微创解决方案,进一步加速了该技术在基层和综合医疗场景中的普及与应用。
除此之外,行业竞争正从单一设备比拼转向全产业链生态竞争,并加速全球化布局。龙头企业向上延伸至微波源、天线等核心元器件研发,向下覆盖耗材、影像导航设备、售后服务及医疗数据平台,构建难以复制的整体解决方案壁垒。
以德文医学为代表的中国企业凭借成熟的产业链、创新速度与成本优势,由模仿追随转向技术输出,在全球市场与国际巨头正面竞争,推动全球格局重塑。未来的市场竞争将是技术、成本、品牌与临床服务能力的综合较量。




